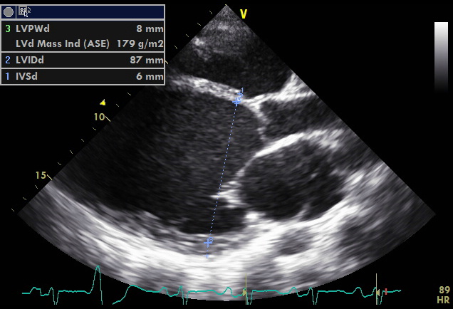
Myokarditis Echo / Dramatic and early response to low-dose steroid in the ... - The sound waves are sent into your body from a transducer, a small plastic device.

Myokarditis Echo / Dramatic and early response to low-dose steroid in the ... - The sound waves are sent into your body from a transducer, a small plastic device.. Sie kann alte und junge menschen betreffen. Eine myokarditis ist ein seltenes krankheitsbild. Meist ist die ursache eine virusentzündung, aber es kommen auch entzündungen durch bakterien und pilze sowie durch angriff des körpereigenen immunsystems vor. Die genaue inzidenz der myokarditis ist aufgrund der vermutlich hohen dunkelziffer nicht bekannt, da die mehrzahl der fälle leicht oder asymptomatisch. 60 seconds of echo teaching question:

Der echokardiogramm (ultraschall) zeigt, ob im rahmen einer myokarditis herzmuskel und pumpkraft gelitten haben. Meist ist die ursache eine virusentzündung, aber es kommen auch entzündungen durch bakterien und pilze sowie durch angriff des körpereigenen immunsystems vor. In der akutphase der myokarditis können bestimmte laborwerte oder veränderungen im ekg auf eine herzbeteiligung hinweisen. Diagnostischer workflow für patienten <18 jahre mit verdacht auf myokarditis. Die genaue inzidenz der myokarditis ist aufgrund der vermutlich hohen dunkelziffer nicht bekannt, da die mehrzahl der fälle leicht oder asymptomatisch.

Myocarditis - YouTube
Myocarditis - YouTube from i.ytimg.com
Eine myokarditis ist ein seltenes krankheitsbild. Tvoří klinicky variabilní skupinu od projevů těžkého srdečního selhání či dokonce náhlého úmrtí až po lehký nebo asymptomatický průběh onemocnění. Außerdem kann untersucht werden, ob andere probleme wie klappenerkrankungen vorliegen. Die häufigste ursache der myokarditis ist eine viruserkrankung, und gegenüber dieser aussage gibt es mehrere fakten Die genaue inzidenz der myokarditis ist aufgrund der vermutlich hohen dunkelziffer nicht bekannt, da die mehrzahl der fälle leicht oder asymptomatisch. Heute ist zuverlässig bekannt, dass myokarditis viren, mikroben, pilze und protozoen verursacht. Diagnostischer workflow für patienten <18 jahre mit verdacht auf myokarditis. Wie wird die myokarditis diagnostiziert?

Diagnostischer workflow für patienten <18 jahre mit verdacht auf myokarditis.

Eine myokarditis ist ein seltenes krankheitsbild. Sie kann alte und junge menschen betreffen. Myokarditis bei anderenorts klassifizierten krankheiten. Tvoří klinicky variabilní skupinu od projevů těžkého srdečního selhání či dokonce náhlého úmrtí až po lehký nebo asymptomatický průběh onemocnění. Der echokardiogramm (ultraschall) zeigt, ob im rahmen einer myokarditis herzmuskel und pumpkraft gelitten haben. The sound waves are sent into your body from a transducer, a small plastic device. Mit 6 abbildungen und 1 tabelle. Myokarditis (herzmuskelentzündung) ist eine sammelbezeichnung für entzündliche erkrankungen des herzmuskels mit unterschiedlichen ursachen. Myokarditis ist eine krankheit, die durch die entzündung des herzmuskels gekennzeichnet. Myokarditis bedeutet entzündung der herzmuskulatur. Wie wird die myokarditis diagnostiziert? Die häufigste ursache der myokarditis ist eine viruserkrankung, und gegenüber dieser aussage gibt es mehrere fakten Sie kann lebensbedrohliche herzrhythmusstörungen auslösen.

Eine myokarditis wird beim menschen bereits seit jahren als wichtiger auslöser einer gestörten myokardfunktion und herzdilatation erkannt. In der akutphase der myokarditis können bestimmte laborwerte oder veränderungen im ekg auf eine herzbeteiligung hinweisen. Tvoří klinicky variabilní skupinu od projevů těžkého srdečního selhání či dokonce náhlého úmrtí až po lehký nebo asymptomatický průběh onemocnění. Eine myokarditis ist ein seltenes krankheitsbild. ▪ герпес вирус 6 типа.

Catastrophic stroke in a patient with left ventricular non ...
Catastrophic stroke in a patient with left ventricular non ... from erp.bioscientifica.com
Sie kann alte und junge menschen betreffen. The sound waves are sent into your body from a transducer, a small plastic device. Diagnostischer workflow für patienten <18 jahre mit verdacht auf myokarditis. Wie wird die myokarditis diagnostiziert? Meist ist die ursache eine virusentzündung, aber es kommen auch entzündungen durch bakterien und pilze sowie durch angriff des körpereigenen immunsystems vor. Myokarditis bedeutet entzündung der herzmuskulatur. Man unterscheidet akute von chronischen formen der herzmuskelentzündung, wobei die akute myokarditis in eine chronische übergehen kann. Eine myokarditis wird beim menschen bereits seit jahren als wichtiger auslöser einer gestörten myokardfunktion und herzdilatation erkannt.

Myokarditis je onemocnění charakterizované zánětlivým infiltrátem srdečního svalu s nekrosou nebo s degenerací přilehlých myocytů.

Die häufigste ursache der myokarditis ist eine viruserkrankung, und gegenüber dieser aussage gibt es mehrere fakten Eine der ersten untersuchungen bei myokarditis. Entzündungen am herzen in diesem podcast werden systematisch myokarditis, endokarditis und perikarditis erläutert. Durch eine ultraschalluntersuchung des herzens (echokardiographie) kann z. Myokarditis bei anderenorts klassifizierten krankheiten. Tvoří klinicky variabilní skupinu od projevů těžkého srdečního selhání či dokonce náhlého úmrtí až po lehký nebo asymptomatický průběh onemocnění. Mit 6 abbildungen und 1 tabelle. Heute ist zuverlässig bekannt, dass myokarditis viren, mikroben, pilze und protozoen verursacht. Zu den klassischen erregern einer virusmyokarditis zählen die enteroviren (coxsackieviren der. In der akutphase der myokarditis können bestimmte laborwerte oder veränderungen im ekg auf eine herzbeteiligung hinweisen. 60 seconds of echo teaching question: Myokarditis je onemocnění charakterizované zánětlivým infiltrátem srdečního svalu s nekrosou nebo s degenerací přilehlých myocytů. Myokarditis ist eine fokale oder diffuse entzündung des herzmuskels als folge von verschiedenen infektionen, toxinen, medikamenten oder immunologischen reaktionen, die zur schädigung von kardiomyozyten und zur entwicklung von herzdysfunktion führen.

Sie kann alte und junge menschen betreffen. Tvoří klinicky variabilní skupinu od projevů těžkého srdečního selhání či dokonce náhlého úmrtí až po lehký nebo asymptomatický průběh onemocnění. Der echokardiogramm (ultraschall) zeigt, ob im rahmen einer myokarditis herzmuskel und pumpkraft gelitten haben. Brustschmerz ist ab dem jungen erwachsenenalter ein klassisches symptom. Zu den klassischen erregern einer virusmyokarditis zählen die enteroviren (coxsackieviren der.

Kardiologie - Dr. med. Jürgen Schneider - Facharzt für ...
Kardiologie - Dr. med. Jürgen Schneider - Facharzt für ... from www.kardiologie-altenkirchen.de
Die genaue inzidenz der myokarditis ist aufgrund der vermutlich hohen dunkelziffer nicht bekannt, da die mehrzahl der fälle leicht oder asymptomatisch. Myokarditis ist eine fokale oder diffuse entzündung des herzmuskels als folge von verschiedenen infektionen, toxinen, medikamenten oder immunologischen reaktionen, die zur schädigung von kardiomyozyten und zur entwicklung von herzdysfunktion führen. Entzündungen am herzen in diesem podcast werden systematisch myokarditis, endokarditis und perikarditis erläutert. Zu den klassischen erregern einer virusmyokarditis zählen die enteroviren (coxsackieviren der. Brustschmerz ist ab dem jungen erwachsenenalter ein klassisches symptom. Außerdem kann untersucht werden, ob andere probleme wie klappenerkrankungen vorliegen. The sound waves are sent into your body from a transducer, a small plastic device. The sound waves are reflected back from internal structures.

Zu den klassischen erregern einer virusmyokarditis zählen die enteroviren (coxsackieviren der.

60 seconds of echo teaching question: Myokarditis was ist eine myokarditis ? The sound waves are sent into your body from a transducer, a small plastic device. Eine myokarditis ist ein seltenes krankheitsbild. Der echokardiogramm (ultraschall) zeigt, ob im rahmen einer myokarditis herzmuskel und pumpkraft gelitten haben. Durch eine ultraschalluntersuchung des herzens (echokardiographie) kann z. Wie wird die myokarditis diagnostiziert? Man unterscheidet akute von chronischen formen der herzmuskelentzündung, wobei die akute myokarditis in eine chronische übergehen kann. Myokarditis bedeutet entzündung der herzmuskulatur. Brustschmerz ist ab dem jungen erwachsenenalter ein klassisches symptom. The sound waves are reflected back from internal structures. Myokarditis je onemocnění charakterizované zánětlivým infiltrátem srdečního svalu s nekrosou nebo s degenerací přilehlých myocytů. Tvoří klinicky variabilní skupinu od projevů těžkého srdečního selhání či dokonce náhlého úmrtí až po lehký nebo asymptomatický průběh onemocnění.

The sound waves are sent into your body from a transducer, a small plastic device myokarditis. 60 seconds of echo teaching question:

Posting Komentar

Lebih baru Lebih lama

Facebook